Crowding (or misalignment) of teeth is one of the most widespread orthodontic issues that patients have. At the Dental Aesthetic Studio, we carry out innovative, customized, and pain-free overlapping tooth procedures that are meant to bring back the balance in your smile, enhance or improve your oral health, and face beauty. Different patients have different dental structures and aesthetic objectives, and with our qualified orthodontists and cosmetic dentists, your treatment plan will be customized to accommodate your needs. Mild, moderate or severe clashing teeth, we offer the best and long-term remedies to a confident and healthy smile. Get the best Overlapping Teeth Treatment in Islamabad by choosing us.
Overlapping Teeth:
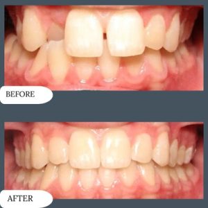
Overlapping teeth are those found in the mouth whereby there is not enough space to accommodate all the teeth hence they are twisted, crowded, or even overlap. This condition may impact on the look and functionality of the teeth. It may also render the process of brushing and flossing challenging, which causes accumulation of plaque, gum disease and decaying of teeth in the long run. Common causes include:
- Genetics – inherited size of jaws or teeth.
- Early loss of baby teeth.
- Constant sucking of the thumb or pacifier.
- Endodontic malformation of adult teeth.
- Disproportions in jaw sizes or mouth-jaw malalignment.
Otherwise, overlapping of teeth may cause bite problems, speech disorders, and temporomandibular joint (TMJ) disorders.
Why Treat Overlapping Teeth?
Fixing the overlapping teeth is not merely an aesthetic issue but it is also a matter of the long-term well-being of the mouth and functionality. Some key benefits include:
- Enhanced Smile Appearance
- Improved Oral Hygiene
- Better Bite Function
- Prevention of Future Problems.
- Boosted Self-Confidence
In dental aesthetic studio, we aim at providing natural, comfortable and long lasting outcomes which are designed to match the form and functionality.
Treatment of Overlapping Teeth in Islamabad:
Our various approaches to Overlapping Teeth Treatment in Islamabad are dependent on the severity of overlapping and preferred aesthetic results. Our specialists suggest the most appropriate method among the following ones after a thorough consultation and digital scan:
Orthodontic Braces:
The classical metal braces in Islamabad are still among the surest methods of dealing with the overlapping teeth. With the help of brackets and wires, they exert constant pressure to push the teeth to their desired mould. In Dental Aesthetic Studio, we offer:
- Metal Braces – This is a good and cheap alternative suitable to every age.
- Ceramic Braces – Tooth-colored brackets to be much more aesthetically pleasing.
- Self-Ligating Braces – High-tech design towards quicker and painless outcomes.
Treatment Duration: 12 to 24 months, as dictated by the complexity of the cases.
Clear Aligners:
Clear aligners are also a very good option to patients who want a discreet and comfortable solution. These removable customized trays slowly move your teeth without the use of metal brackets or wires. Benefits of Clear Aligners:
- Practically non-existent appearance.
- Elastic, removable to eat and brush.
- No gingival irritation.
- Treatment plans are predictable with the help of digital treatment planning.
- Indicated: Ideal Mild to moderate cases of overlapping or crowding.
Cosmetic Correction by Dental Veneers:
In case the overlapping is slight and only aesthetic in nature, porcelain or composite veneers may give a fast and dramatic fix. Veneers are no more than shells, which are made to look like the front of teeth and bonded to the front.
Advantages:
- Immediate make-up artificial boost.
- Stain-resistant surface.
- Good in the long run with good treatment.
- Treatment Time: 1-2 visits.
In Dental Aesthetic Studio Islamabad we have high quality veneers that are made to offer a perfect and natural tooth color and shape, providing a perfect and shiny smile without any heavy orthodontic intervention.
Contouring and Reshaping of teeth:
Tooth contouring can work in case of slight overlapping. This is a procedure that implies minor remodelling of enamel to eliminate minor irregularities and make the spacing more consistent. It is a fast, pain free, and cost-effective cosmetic surgery that should be used by patients who are conscious of immediate effects with minimal intervention.
Orthognathic Surgery:
Orthodontic therapy would not be adequate in cases of overlapping teeth produced by misalignment of the jaw. Orthognathic surgery (jaw surgery) is done to re-align the jaws correctly in such cases. The combination of these techniques guarantees that there is the right bite, better functioning, and increased facial balance.
Step-by-Step Process:
Extensive Consultation & Diagnosis:
Our initial step is an in-depth oral examination, X-rays, and 3D scans to determine your dental alignment and jaw structure.
Individualized Treatment Planning:
Our experts create a unique treatment plan based on your needs, in accordance with the dental aspirations and financial capacity.
Treatment Phase:
Treatment goes on under professional guidance depending on the preferred procedure; braces, aligners, veneers, or contouring.
Progress Monitoring:
Frequent follow-ups will also be arranged so that optimum progress and comfort is guaranteed.
Retention Phase:
Once it is over, retainers will be given to keep you in your new alignment and avoid a relapse.
Post-Treatment Maintenance and Care:
In order to make your results continue, our team will offer detailed information on how your teeth will be taken care of after the treatment which includes:
- Having great oral cleanliness habits.
- Booking of routine dental appointments.
- Do not eat hard or sticky (when you have braces or retainers).
- Applying enamel protection toothpaste having fluoride.
At Dental Aesthetic Studio Islamabad, we are of the view that long-term effects rely on expertise in the profession as well as regular aftercare.
Overlapping Teeth Treatment Cost in Islamabad:
The price of Overlapping Teeth Treatment in Islamabad depends on the type of treatment, complexity and length of treatment. On average, you can expect:
- Braces: PKR 120,000 – PKR 250,000
- Clear Aligners: PKR 250,000 – PKR 500,000
- Veneers: PKR 20,000 – PKR 45,000 per tooth
- Tooth Contouring: PKR 8,000 – PKR 25,000
Best Dentist in Islamabad:
Dr. Huma Abbasi is one of the most effective dentists in Islamabad when it comes to having a perfect smile. Having a long-term clinical experience in cosmetic dental care, orthodontics, and restorative therapies, she is known for her accuracy, empathy, and a patient-focused attitude. Her dedication to providing the patients with pain-free, high-quality, and aesthetic dental service has assisted countless patients in regaining confidence and health of their mouths.
Why Choose Dental Aesthetic Studio?
Among the experienced Orthodontic Specialists are the ones who have a number of years in their experience in terms of alignment correction.
- Premier Technology
- Low discomfort
- Customized Treatment PlansĀ
- Low cost PackagesĀ
At Dental Aesthetic Studio, we guarantee you that you will end up walking away with a beautiful, confident and healthy smile.



Book Your Consultation:
When you are willing to say bye to overlapping teeth and welcome a beautiful, straight smile, make an appointment at Dental Aesthetic Studio Islamabad today. Our team offers quality advice, modern procedures, and patient-centered care at all levels.Change your smile with accuracy, compassion, and creativity.
How can overlapping teeth be treated?
They can be corrected using braces, clear aligners, veneers, or minor reshaping, depending on severity.
Is overlapping teeth treatment painful?
Most treatments are minimally painful, with only mild discomfort that subsides within a few days.
How long does the treatment take?
Treatment duration ranges from 6 months to 2 years, depending on the chosen method and alignment complexity.
Can adults fix overlapping teeth?
Yes, adults can successfully correct overlapping teeth using modern orthodontic or cosmetic techniques.
Are clear aligners effective for overlapping teeth?
Yes, clear aligners are highly effective for mild to moderate overlapping and offer a discreet option.
What is the cost of overlapping teeth treatment in Islamabad?
Costs vary from PKR 120,000 to PKR 300,000, depending on treatment type and case complexity.